
EB病毒(Epstein-Barr virus,EBV)是人类一种特异性嗜淋巴细胞性疱疹病毒,世界约有90%以上的人被EBV感染,大部分无临床症状,长期潜伏感染。EBER是Lerner 等人发现的EBV 编码的小RNA,具有稳定的二级结构,在EBV潜伏期、复制期等各个时期中均以高拷贝数存在。 
EBV既是一些非肿瘤疾病 (如传染性单核细胞增多症) 的致病因素,也是国际癌症研究署(IARC)罗列的第一组致癌因子之一,与淋巴瘤、鼻咽癌、胃癌、移植后淋巴增殖症等多种肿瘤的发生密切相关。EBV 与多种淋巴瘤的发生发展息息相关,包括霍奇金淋巴瘤、伯基特淋巴瘤、弥漫大 B 细胞淋巴瘤、血管免疫母细胞T细胞淋巴瘤、NK/T 细胞淋巴瘤等。目前 EBV 相关淋巴瘤的研究取得了较多的进展,及时诊断发现EBV相关的淋巴瘤可为患者提供更多的救治机会,有助于提高疾病的治愈率。EBV 相关性胃癌(EBVaGC)在胃癌中的比例为 6% ~12%,是癌症基因组图谱(TCGA)计划提出的四大分子亚型之一。EBVaGC的免疫微环境中存在大量淋巴细胞浸润,患者对免疫治疗较敏感,是免疫检查点抑制剂治疗的获益人群,具有较好的预后。因此,将EBVaGC从胃癌中精准诊断出来,对患者的有效治疗至关重要。鼻咽癌(NPC)是我国南方地区高发的肿瘤,也是目前最明确的与EBV感染相关的人类上皮性肿瘤。在NPC最常见的未分化型中,几乎每个癌细胞均存在 EBV的感染。越来越多的研究表明,EBV的检出对NPC高危患者的早期诊断、精确TNM分期、预测放、化疗反应、判断预后均有重要的临床意义,是NPC诊断、治疗、随访监测过程中是不可或缺的指标。EBV的检测方法众多,但在肿瘤诊断中,血清学检测只能作为提示EBV 存在的依据。IHC检测LMP等方法由于潜伏期病毒表面抗原较少,容易出现假阴性现象。PCR检测操作复杂,且无法精确定位EBV的位置。根据EBER的高拷贝特性,EBER原位杂交能够精确定位EBV感染的细胞位置及类型,可为临床对肿瘤的筛查、诊断、治疗和预后判断提供可靠的病理学依据,是病理诊断EBV的“金标准”。
由迈新团队自主研发的全新EBER原位杂交试剂盒,优选地高辛标记靶向特异性核酸探针,试剂配套齐全,可与EBER特异性结合,实现EBV感染细胞精确查找,有效放大信号,敏感性高,特异性强。实验流程掌控自如,可当日完成(手工约3h;Tian/Titan S机染约3.5h),也可过夜染色,适用于多种肿瘤组织石蜡切片的EBV检测。此外,为了方便临床实验的开展,试剂盒提供手工与仪器两种剂型,让科室可根据实际需求灵活选择;两种剂型的探针均为即用型,使用前无需再稀释,减少操作误差,结果更精确,数据更可靠。

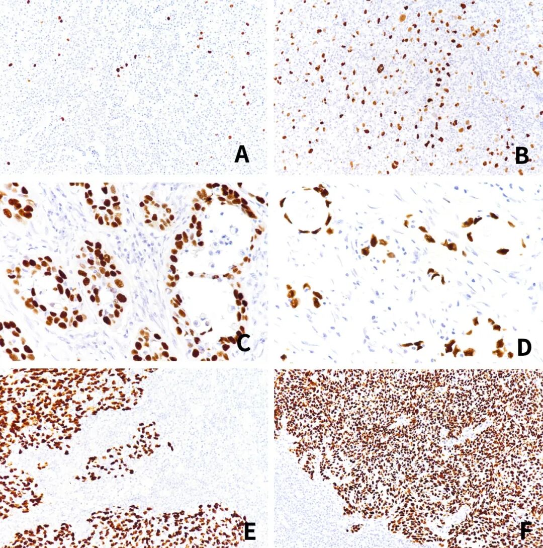
图:A、B:EBV感染的霍奇金淋巴瘤组织;C、D:EBV感染的胃癌组织;E、F:EBV感染的鼻咽癌组织。
参考文献:
[1]全国儿童EB病毒感染协作组,中华实验和临床病毒学杂志编辑委员会. EB病毒感染实验室诊断及临床应用专家共识 [J] . 中华实验和临床病毒学杂志,2018,32 (1):2-8.
[2]HualiYin, Jiani Qu, Qiu Peng, et al. Molecular mechanisms of EBV-driven cell cycleprogression and oncogenesis [J]. Medical Microbiology & Immunology, 2019, 208(5).573-583.
[3]冯静, 王三斌, 刘林,等. EB病毒感染与淋巴瘤发病机制的研究进展[J]. 传染病信息, 2022, 35(2):172-175.
[4]The Cancer Genome Atlas Research Network. Comprehensive molecular characterization of gastric adenocarcinoma[J]. Nature.10.1038/nature13480
[5]吴若实(综述), 农胜利(审校). EB病毒与鼻咽癌发生发展关系的研究进展[J]. 现代医药卫生, 2016, 32(14):2182-2184.
[6]Chua HueyHuey,Kameyama Toshiki,Mayeda Akila, et al.Epstein-Barr Virus Enhances Cancer-Specific Aberrant Splicing of TSG101 Pre-mRNA.[J]. International journal of molecular sciences,2022,23(5).
更多信息,请详询:800-8581156 或 400-889-9853