前列腺
前列腺组织是泌尿生殖系统病理标本中最常见的标本类型。表1总结了与前列腺相关的免疫组化标记物,包括NK3 Homeobox 1(NKX3.1),前列腺特异性抗原(PSA),前列腺酸磷酸酶(PSAP),前列腺特异性膜抗原(PSMA),AMACR(α-甲基酰基辅酶A消旋酶,也称为p504s),前列腺素(也称为p501s),高分子量角蛋白Cytokeratin(HMW)和p63。正常前列腺腺体含三种细胞类型:分泌细胞、基底细胞及神经内分泌细胞。通常前列腺腺癌表达分泌细胞的表型,对PSA,PSAP和PSMA呈阳性,并且基底细胞标记物如Cytokeratin(HMW)和p63呈阴性。NKX3.1可以同时标记分泌细胞和基底细胞,目前已成为前列腺上皮病变最敏感,最特异的标志物。在前列腺癌免疫组化鉴别诊断中,最常遇见的陷阱是高级别前列腺癌,特别是经过治疗后的前列腺腺癌,其通常会丢失某些前列腺标志物(例如PSA)的表达,或呈局灶弱阳性。NKX3.1是最敏感,最特异的前列腺标志物,通常也是高级别前列腺腺癌中丢失的最后一个标志物,因此强烈建议使用NKX3.1来确定前列腺来源。p501s,也称为prostein或SLC45A3,是包含跨膜结构域的一种蛋白,在恶性和良性前列腺分泌细胞中呈点状膜染色或颗粒状/核旁点状着色,并且不受分级的影响。仅使用p501s或联用PSA等其它标记物的方法在证实前列腺来源方面一直非常有效,具有良好的灵敏度和特异性。由于p501s和其它前列腺标记物一样也依赖雄激素,因此在接受过抗雄激素治疗的病例中,p501s的表达可能较弱。NKX3.1则因其核着色的特点,其在脱钙或挤压破碎的组织中比其它细胞质标记物更强更可靠。
图1A. 转移性前列腺癌。显示出非常弱的局灶性PSA染色(箭头);
图1B. 转移性前列腺癌。AMACR阳性和高分子角蛋白/ p63染色阴性(三色抗体组合);
图1C. 转移性前列腺癌。PSMA在癌细胞中呈弱阳性;
图1D. 转移性前列腺癌。NKX3.1在癌细胞中呈弥漫阳性。
AMACR是用于证实前列腺腺癌的另一种标志物。与良性分泌细胞相比,它在高级别前列腺上皮内瘤样增生(HGPIN)和腺癌等肿瘤性分泌细胞中表达更强(图1,B)。AMACR是在前列腺活检组织中确认前列腺腺癌的最佳标记物,但在前列腺外的器官AMACR并不特异,因为其它肿瘤,例如结肠腺癌或乳头状肾细胞癌可能会高表达AMACR。近年来,核标记物ERG引起了人们的兴趣。其表达取决于TMPRSS2-ERG(跨膜蛋白酶丝氨2:v-ETS禽成红细胞病病毒E26癌基因同源物)融合状态,其敏感性范围为24.4%至49%。对前列腺腺癌具有高度特异性,在怀疑是转移性前列腺癌的肿瘤中,如果表达呈阳性时对鉴别诊断很有帮助。但在分级分组为1和2的前列腺癌中,ERG的敏感性较低。因此,当考虑转移性前列腺癌或肿瘤为高级别时,ERG则更可能是阴性的。另外,包括肿瘤血管在内的内皮细胞也对ERG呈阳性。实践证明,CK7和CK20不能用于证实前列腺起源,因为两者可能都是阳性,或者两者都不是阳性。前列腺穿刺活检时,一部分腺瘤可显示中等程度的AMACR染色(图2,A和B),局部萎缩改变也可能显示弱的AMACR染色(图2,C和D)。腺病和局部萎缩都会显示不连续或斑块状的基底细胞染色,此时鉴别诊断要结合镜下形态——前列腺癌有细胞学和组织学异型性,而腺病和萎缩则缺乏显著的细胞非典型性。
图2A. 良性前列腺疾病中的AMACR阳性。腺瘤由小叶状的小腺体组成,无细胞学异型性;
图2B. 病变细胞可能显示出稀疏的基底细胞染色,并且表达中等强度AMACR;
图2C. 局部萎缩的形态学特征是一群成角的小腺体,细胞质萎缩,没有细胞学异型性,有或无基底细胞;
图2D. 局部萎缩还包含基底细胞碎片以及轻度至中度强度的AMACR阳性。
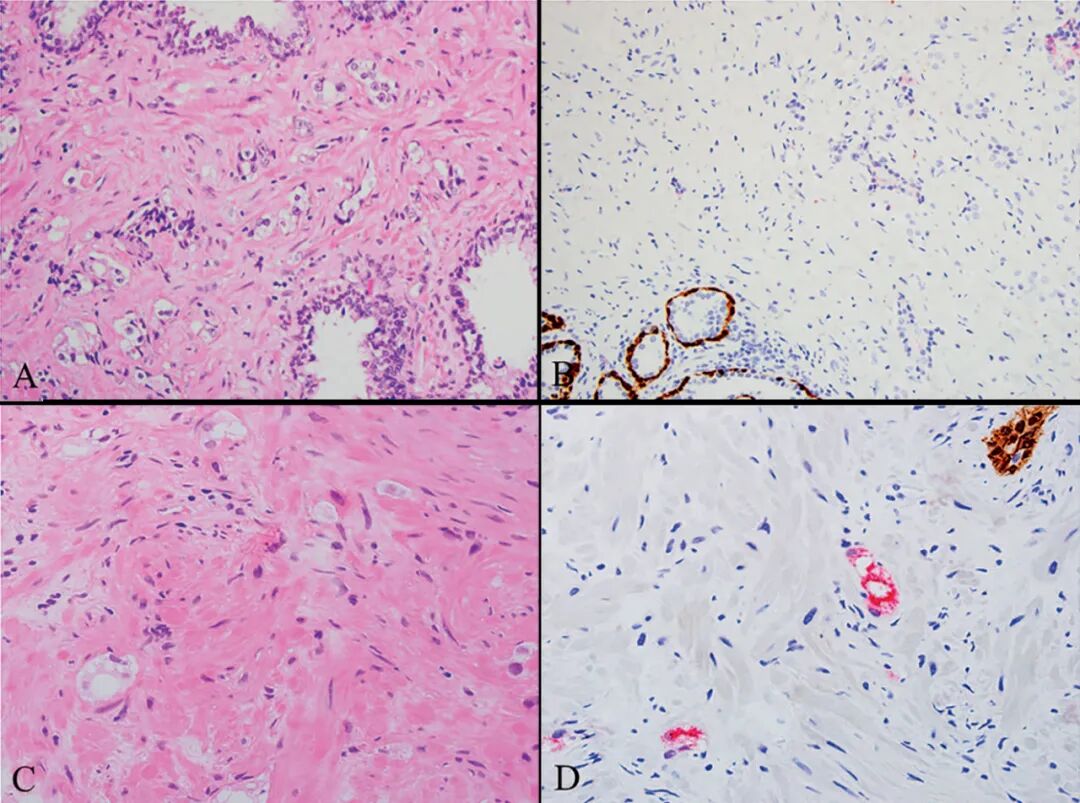
有一些罕见病例,譬如表达p63的前列腺腺癌(图3,A和B)可能会形成诊断上的陷阱。在这种病例中,形态学特征是诊断的关键,因为前列腺腺癌具有显著的细胞学非典型性和侵袭性特征。基底细胞癌(图3 C)是一种罕见的前列腺癌,该肿瘤具有基底细胞样外观,形成实性巢状或多层腺体结构,呈浸润性生长。基底细胞癌的Cytokeratin(HMW),p63(图3,C和D)和NKX3.1表达呈阳性,浸润方式包括围神经浸润和/或前列腺外扩散,与预期的良性基底细胞增生不同。
图3B. 异常表达p63的前列腺癌,p63强阳性表达;图3C. 异常表达p63的前列腺癌,浸润性前列腺基底细胞癌,可见围神经浸润;图3D. 异常表达p63的前列腺癌,p63阳性表达(三色抗体组合)。
在诊断具有前列腺腺癌病史的患者时,也会有陷阱。由于这些患者通常有治疗史,包括抗雄激素/去势治疗或放疗,会导致肿瘤细胞的形态发生改变(图4)。由于上述原因,复发性或转移性前列腺癌可能会丢失某些预期的前列腺标志物,或者可能表达p63或其它标志物,例如表达神经内分泌分化的抗体。如果CK7和CK20表达也不明确、临床又未提供前列腺癌病史,病理医生就会相当被动,可能会造成前列腺癌的漏诊。此时需要谨慎地做一组前列腺标记物,包括PSA,PSMA,尤其是NKX3.1,因为它通常是前列腺腺癌中最后丢失的标记物。还应进行相关器官的标记用来排查,包括结肠的CDX2(尾型同源异型盒转录因子2),尿路上皮和乳腺的GATA3(GATA结合蛋白3),肺的TTF-1,肾脏的PAX8,以及一些肝细胞标记物。
图4A. 经过治疗后的前列腺腺癌。抗雄激素/去势治疗患者,显示肿瘤细胞退变
图4B. 经过治疗后的前列腺腺癌。AMACR染色较弱,但基底细胞标记为阴性(三色抗体组合)
图4C. 放疗后复发的前列腺癌。肿瘤细胞显示萎缩性改变
图4D. 放疗后复发的前列腺癌。肿瘤细胞AMACR阳性,而基底细胞标记物阴性
| 抗体名称 | 产品编号 | 克隆号 | 阳性部位 | 
| AMACR/p504s | RMA-0546 | 13H4 | 胞质 | 
| ERG* | RMA-0748 | MXR004 | 胞核 | 
| Cytokeratin(HMW) | Kit-0020 | 34βE12 | 胞质 | 
| NKX3.1 | RMA-0753 | EP356 | 胞核 | 
| p63* | MAB-0694 | MX013 | 胞核 | 
| PSA* | MAB-0719 | MX030 | 胞质 | 
| PSMA | MAB-0575 | 1D6 | 胞质 | 
*标为迈新克隆产品  
参考文献:
Jenny Ross, Guangyuan Li, Ximing J. Yang. Application and Pitfalls of Immunohistochemistry in Diagnosis of Challenging Genitourinary Cases. Arch Pathol Lab Med. Vol 144, March 2020:290-304