头颈部鳞状细胞癌中,高危型(high-risk,HR)人乳头瘤病毒(human papillomavirus,HPV )相关者约占25%,喉部鳞状细胞癌中则80%为HPV阳性。尽管这类患者相比HPV阴性患者而言,确诊时临床分期更晚、形态学分化较低,但其生存预后却要更好。文献研究表明,这类患者中免疫应答可能是相关治疗效果更好、生存预后更强的重要原因。
Galectin-3是一种哺乳动物源性的凝集素和糖蛋白成分,具有多种细胞内及细胞外的功能,如促进肿瘤血管生成及生长、促进肿瘤进展等。目前有研究表明galectin-3可通过免疫影响而促进淋巴细胞凋亡、降低NK细胞的抗肿瘤活性、抑制T细胞功能等,尤其HPV阳性头颈部鳞状细胞癌中会显著影响CD8阳性T细胞的功能。文献报道还表明,galectin-3的表达于癌中进展有关;而相关抑制剂已获批用于多种癌症和其他病变的临床研究。
为更好的了解galectin-3在头颈部鳞状细胞癌进展及免疫靶向中的意义,弗吉尼亚大学病理专家Coppock等人评估了原发头颈部鳞状细胞癌、局部淋巴结转移的头颈部鳞状细胞癌中galectin-3表达于HR-HPV的关系。目前相关文章已发表于《Head Neck Pathol》杂志。该研究共收集了78例原发及局部淋巴结转移的头颈部鳞状细胞癌病例,制作组织微阵列后通过HR-HPV RNA ISH的方式进行了HPV的评估,同时通过免疫组化的方式对galectin-3的表达进行了评估。结果表明原发头颈部鳞癌中HPV阳性者17例,HPV阴性者36例;转移性头颈部鳞癌中HPV阳性者11例,阴性者14例。免疫组化检测表明,所有头颈部鳞状细胞癌病例中肿瘤细胞胞质阳性表达≥5%的病例比例为29%(23/78),具体详见表1。
表1. 不同情况下的galectin-3表达结果

统计学分析表明,原发与转移性病变之间galectin-3阳性比例之间未见显著差异(30%,16/53;VS. 28%,7/25;p=1)。原发的HPV阳性头颈部鳞癌中,galectin-3阳性比例为53%(9/17),转移性HPV阳性头颈部鳞癌中这一阳性比例则为45%(5/11),二者之间未见显著差异(p=1)。原发的HPV阴性头颈部鳞癌中,galectin-3阳性比例为19%(7/36),转移性HPV阴性头颈部鳞癌中这一阳性比例则为14%(2/14),二者之间未见显著差异(p=1)。不过,所有HPV阳性病例一起分析,galectin-3阳性的比例为50%(14/28),而所有HPV阴性病例中galectin-3阳性的比例仅为18%(9/50),二者之间差异具有显著性(p=0.004)。总体而言,HR-HPV阳性病例相比阴性病例来说,更可能表现为galectin-3的阳性。图1. HR-HPV原位杂交结果:(A)HPV阳性鳞状细胞癌;(B)HR-HPV RNA ISH检测,细胞核着色、胞质呈逗点状着色;(C)HPV阴性鳞状细胞癌;(D)HR-HPV RNA ISH检测阴性。
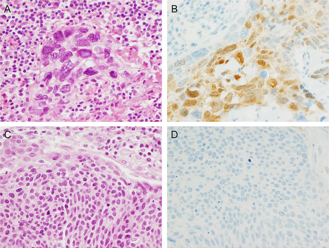
图2. 头颈部原发鳞状细胞癌中galectin-3的免疫组化结果:(A)galectin-3阳性的口腔原发鳞状细胞癌;(B)免疫组化galectin-3表现为大部分肿瘤细胞胞质着色、部分细胞核着色;(C)galectin-3阴性的口腔原发鳞状细胞癌供对比;(D)免疫组化galectin-3染色完全缺失。
图3. 转移性头颈部鳞状细胞癌中galectin-3的免疫组化结果:(A)galectin-3阳性的淋巴结转移性头颈部鳞状细胞癌;(B)免疫组化galectin-3表现为大部分肿瘤均为阳性着色;(C)galectin-3阴性的淋巴结转移性头颈部鳞状细胞癌供对比;(D)免疫组化galectin-3染色完全缺失。 随着对肿瘤及相关病变研究的不断深入,galectin-3抑制剂已逐渐开始实施相关临床实验,如GM-CT-01已获批用于恶性黑色素瘤的临床实验(NCT01723813),GR-MD-02已获批用于肝纤维化患者的研究(NCT02462967)、且与免疫调节因子及CTLA-4抑制剂联合用于转移性恶性黑色素瘤的研究(NCT02117362)。尽管相关数据有限,但目前研究结果表明galectin-3拮抗剂用于头颈部鳞状细胞癌的耐受性较好,可能会降低其他治疗方案的毒性。本文研究结果表明,部分头颈部鳞癌病例中galectin-3阳性表达,可能对galectin-3抑制治疗方案的实施有一定提示意义。本研究中HR-HPV阳性头颈部鳞癌相比HR-HPV阴性头颈部鳞癌来说,galectin-3阳性率显著较高,这可能提示HPV感染在相关病变中具有某些作用;而本研究中转移灶与原发灶之间galectin-3表达之间统计学分析差异无显著性,这并不支持galectin-3表达促进了转移的进展。| 抗体名称 | 产品编号 | 克隆号 | 阳性部位 | 
| Galectin-3* | MAB-0835 | MX060 | 胞质/胞核 | 
Coppock JD, Mills AM, Stelow EB. Galectin-3 Expression in High-Risk HPV-Positive and Negative Head & Neck Squamous Cell Carcinomas and Regional Lymph Node Metastases [published online ahead of print, 2020 Jun 20]. Head Neck Pathol. 2020;10.1007/s12105-020-01195-3. doi:10.1007/s12105-020-01195-3