前言:
根据Springer出版社《Immunohis-tochemistry in Tumor Diagnostics》一书的内容编排,本期文章“迈迈”将重点编译介绍胸腺上皮性肿瘤、心脏及心包肿瘤的免疫组化标记相关知识点。

呼吸道及肺部肿瘤免疫组化标记
一. 胸腺上皮的免疫组化标记,如Pax-8、CD117、CD5、CK(高分子量)、p63。

图1. AB型胸腺瘤,Pax-8在肿瘤性上皮细胞的细胞核阳性表达。

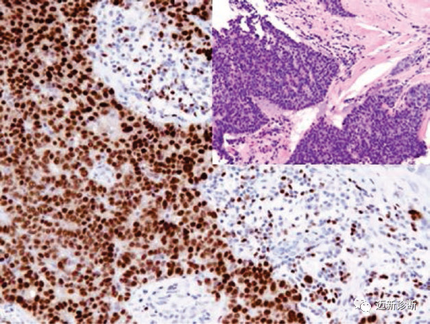
图2. 胸腺癌,Pax-8在恶性的胸腺上皮细胞核阳性表达。

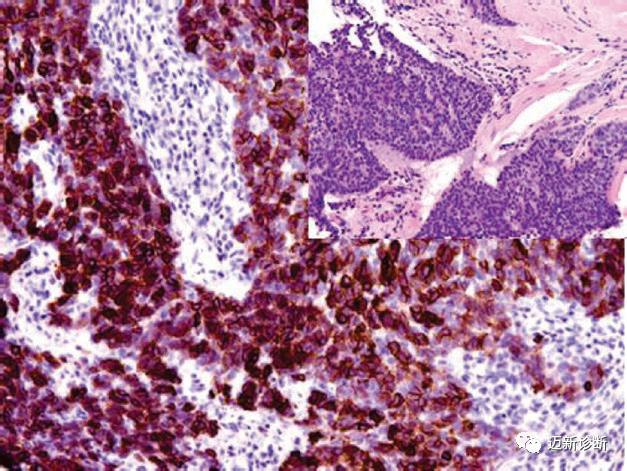
图3. 胸腺癌,CD117在恶性的胸腺上皮中呈阳性表达。

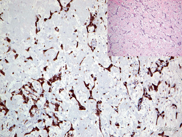
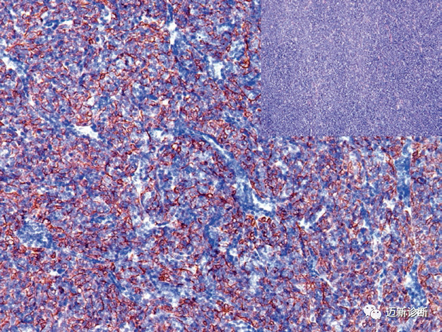
图4. AB型胸腺瘤中,CK5/14在肿瘤性上皮细胞的胞质阳性表达。
二. 胸腺淋巴细胞间质的免疫组化标记,如CD1a、CD3、TdT。
这部分内容将在淋巴造血相关肿瘤中有详细介绍,并参阅表1。
表1. 胸腺上皮性肿瘤免疫组化指标总结

表1备注:
A型及AB型胸腺瘤也可能会有CD20的阳性表达;
梭形细胞胸腺癌中,CD5为阴性。

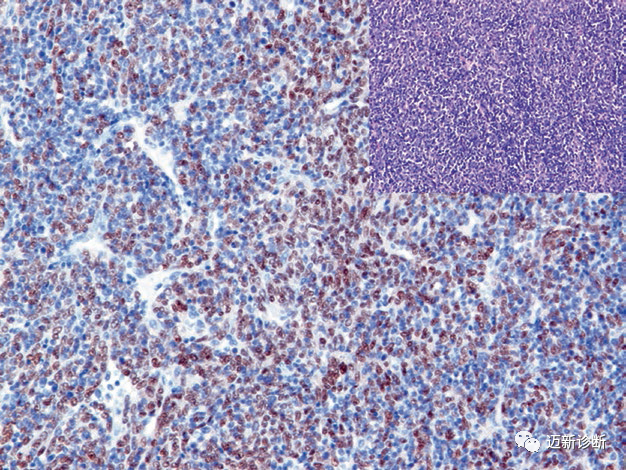
图5. AB型胸腺瘤中,肿瘤相关的T淋巴细胞CD1a阳性。
心脏及心包肿瘤免疫组化标记
表2. 心脏及心包肿瘤免疫组化指标总结


图6. 心脏乳头状弹力纤维瘤,血管内皮细胞免疫组化CD31阳性。

图7. 心脏黏液瘤,肿瘤细胞强阳性表达calretinin。
1
迈迈:”科技赋能,是时代主旋律。掌握核心技术,不受制于人,是创新型企业的前提。在《迈迈读书》第四期内容中,我们介绍了迈新克隆国产CK系列抗体,受到不少病理老师的关注和赞许。今天再向各位老师推荐几款与本文内容相关的迈新克隆抗体,有机会您不妨试试哦。“
抗体名称  | 克隆号  | 阳性对照  | 阳性部位  | 
Actin  | MX083  | 结肠平滑肌、阑尾  | 胞质  | 
Bcl-2  | MX022  | 扁桃体、阑尾  | 胞膜/胞质  | 
CD5  | MX052  | 扁桃体、胸腺  | 胞膜  | 
CD10  | MX002  | 扁桃体、肾脏 | 胞质/胞膜 | 
CD31  | MX032  | 血管瘤、肝脏  | 胞膜  | 
| CD56 | MX039 | 肺小细胞癌、阑尾 | 胞膜 | 
CD68  | MX075  | 恶性纤维组织细胞瘤、扁桃体  | 胞质  | 
| CEA | MX068 | 肺腺癌、阑尾 | 胞质 | 
CgA  | MX018  | 嗜铬细胞瘤、神经内分泌癌  | 胞质  | 
| Desmin | MX046 | 食管组织、阑尾 | 胞质 | 
HER-2  | MXR001  | 乳腺导管浸润癌  | 胞膜  | 
| MyoD1 | MX049 | 横纹肌肉瘤 | 胞核 | 
p63  | MX013  | 前列腺增生、尿路上皮癌  | 胞核  | 
| Pax-8 | MX062 | 肾透明细胞癌、输卵管 | 胞核 | 
SMA  | MX097  | 结肠平滑肌、阑尾  | 胞质  | 
| Syn | MX038 | 胰腺、阑尾 | 胞质 | 
Vimentin  | MX034  | 胃肠道间质瘤、阑尾  | 胞质  | 
更多信息,请详询:800-8581156或400-889-9853