各种类型的急性和亚急性肺损伤均可引起严重的肺泡上皮反应性增生并表现出显著的肺泡上皮异型性。因其酷似恶性肿瘤,在病理诊断中可能会导致误诊而落入陷阱之中。
本文重点介绍了反应性增生肺泡细胞的一种独特但又未被充分认识的形态学特征,它可以作为今后有用的诊断线索。
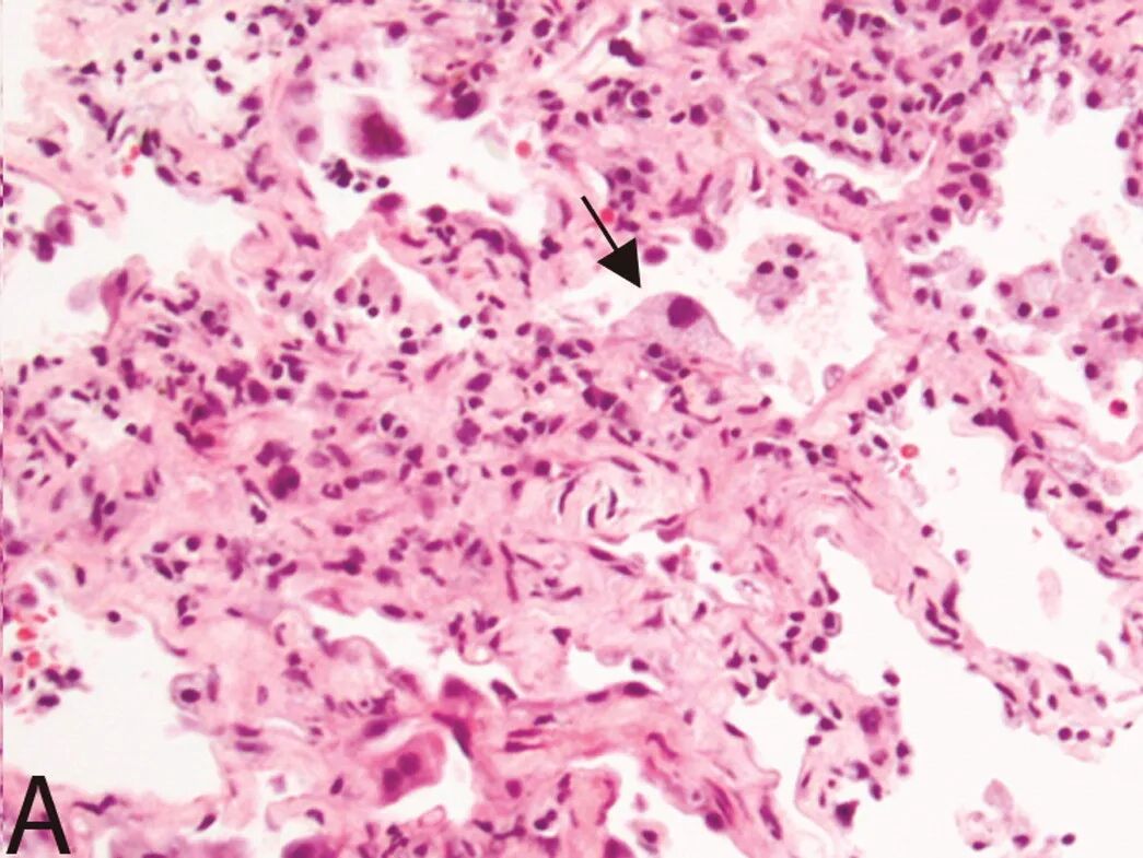
图A. 粗针活检组织。化疗药物引起的急性肺损伤。反应性增生的肺泡细胞具有捏长的外观,其底端被挤压且表面变平(箭头)。肺泡细胞非典型性明显,包括胞质明显肿大、偶见双核细胞、致密的染色质及胞质内空泡。
反应性增生的肺泡上皮和肿瘤性上皮之间的鉴别是肺病理学中最常见,也是最具挑战性的难题之一。特别是在各种呼吸道传染性或炎性疾病中,反应性增生的肺泡细胞形态学特征可能会酷似恶性肿瘤。细胞学病理医生最常陷入这种窘境,组织学标本中也会偶尔遇到,尤其是冰冻切片和小活检组织中。在花粉导致的弥漫性肺泡损伤患者中,反应性增生的肺泡上皮的异型性最为严重。更多局限性的急性和亚急性肺损伤(例如机化性肺炎,梗死或药物反应)可能会引起更严重的局灶性肺泡细胞异型性。近年来,随着尸检量的减少,导致熟悉弥漫性肺泡损伤组织形态学改变的病理医生也越来越少,对反应性肺泡细胞形态学谱系的认识程度也在不断下降中。
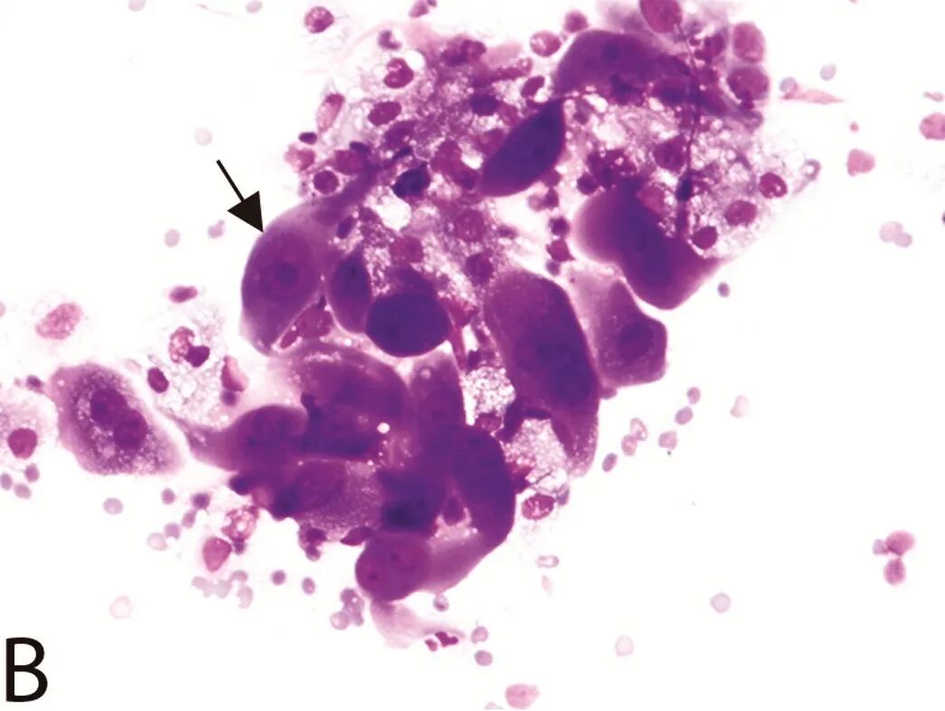
图B. 与图A同一粗针活检组织的细胞学印片,显示较多增大的上皮样细胞(与相邻的红细胞比较)与泡沫样组织细胞的聚集体。核仁增大在某些细胞中非常明显。捏长的外观在许多细胞中保存完好(箭头)
在急性/亚急性肺损伤中,反应性增生的肺泡细胞重要形态学特征包括:细胞肿大明显,核仁显著及染色质不均匀(块状或泡状)。可能出现黑色素瘤或病毒所致的巨大核仁。核轮廓局灶区域可能会不规则,但总体光滑。反应性增生的肺泡细胞被过度诊断为腺癌的例子屡见不鲜。一些反应性增生的肺泡细胞具有致密的(鳞状)细胞质,也可酷似鳞状细胞癌。在细胞学标本中,急性呼吸窘迫综合征患者支气管肺泡灌洗标本中的反应性增生的肺泡细胞可能会被误诊为癌,在一些骨髓移植或肺移植的患者中也曾有类似报道。这种肺泡细胞的异型性可能与药物反应、感染、移植物抗宿主疾病,或在急性细胞排斥反应后出现。与肉芽肿性炎相关的反应性增生的肺泡细胞也是个大坑。
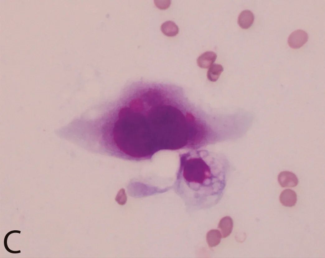
图C. 反应性肺损伤病例涂片。反应性增生的肺泡上皮明显增大,具双核,呈高度非典型性,保留了独特的拿破仑帽子状形态学特点
在某些情况下,对临床资料和影像学资料的充分了解可以为诊断传染性疾病/炎症提供重要线索。例如对于骨髓移植受者,如果其迅速进展为弥漫性肺损伤,此时对细胞学中的肺泡细胞的异型性解释应特别谨慎。但是,某些炎症性病变(如机化性肺炎或肉芽肿性炎)可能会在肺内呈结节状改变,在影像学上酷似恶性肿瘤。相反,弥漫性肺疾病并不总是等同于反应性/炎症性过程,因为这种影像学改变也见于某些恶性肿瘤,尤其是扩散至肺部淋巴管的癌,即所谓的淋巴管癌。因此,在许多情况下,临床资料并不能为鉴别肺部病变到底是反应性改变还是肿瘤性病变提供足够的线索,此时对于疾病的鉴别则完全依赖于对肺泡上皮非典型性的组织形态学解释。缺乏鉴别反应性肺泡细胞和肿瘤性肺泡细胞的特异性标志物使这一困境更加恶化。
图D. 反应性肺损伤病例涂片。反应性增生的肺泡上皮明显增大,核仁显著,呈高度非典型性,保留了独特的拿破仑帽子状形态学特点
既往的文献报道了一些形态学特征,用于区分反应性增生的肺泡细胞与肿瘤性肺泡细胞。首先,反应性增生的肺泡细胞往往表现出一个谱系特点,拥有从明确良性到显著非典型性的所有形态。其次,在急性/亚急性肺损伤中,反应性增生的肺泡细胞经常表现出细胞质特有的空泡化和频繁的双核化。最后,反应性增生的肺泡细胞如果出现明显的巨细胞,通常会以细胞核和细胞质成比例地增加为特征,而核质比则保持不变。尽管这些形态学可能会有所帮助,但在许多情况下,区分反应性增生的肺泡细胞与肿瘤性肺泡细胞仍然非常困难。
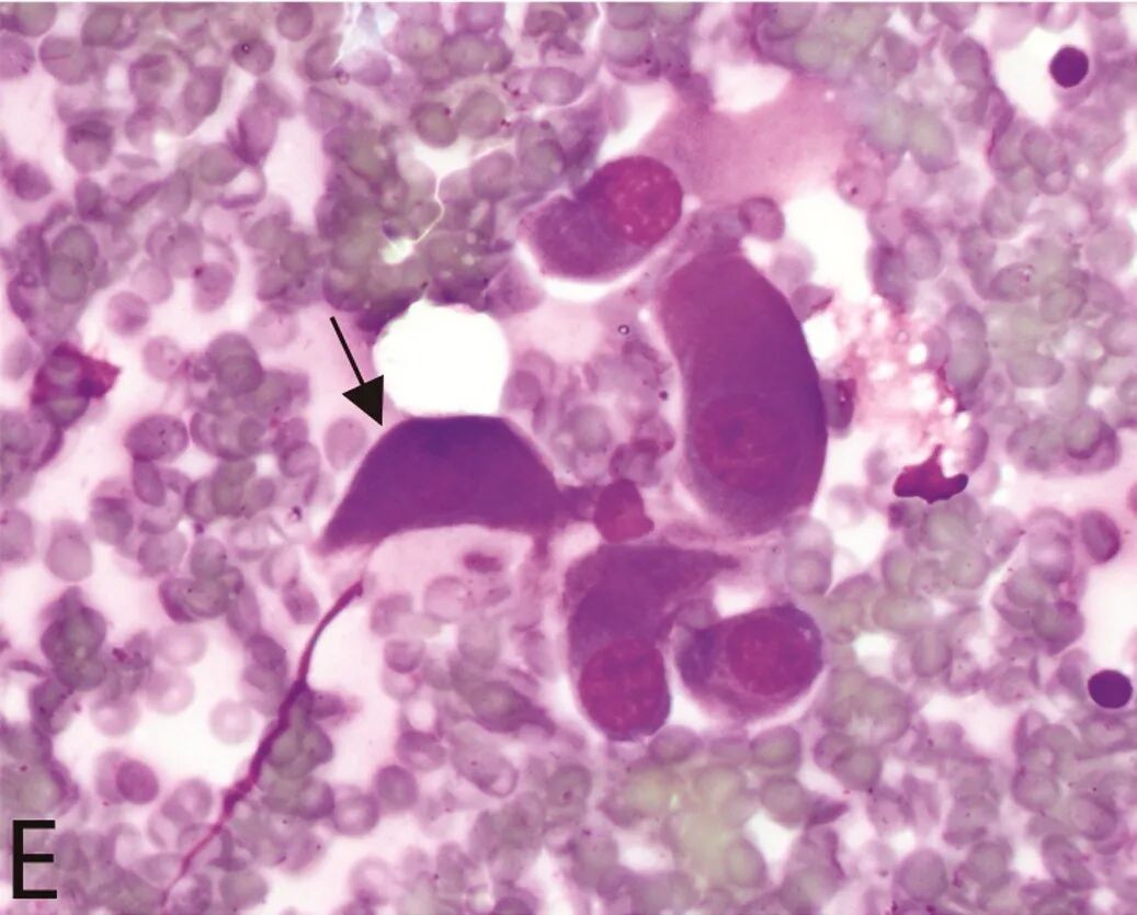
图E. 反应性肺损伤病例涂片。反应性增生的肺泡上皮明显增大,一面平坦,一面凸起,保留了独特的拿破仑帽子状形态学特点
根据Natasha Rekhtman的经验,在急性/亚急性肺损伤中,对于反应性增生的肺泡细胞而言,一种未被充分认识但非常有用的细胞形态学线索具有高度特异性。其特征是肺泡细胞轮廓被捏长,胞体的一侧表面平坦,另一侧表面因细胞核的推挤而凸起。平坦面对应将肺泡细胞贴在肺泡壁上的区域,而凸起面则对应肺泡腔的区域。在液基制片中,或者在冰冻切片和一些小活检中,这种反应性增生的肺泡细胞的独特形状往往会保留在此类标本中。这种独特形状令人联想起拿破仑标志性的双角帽子,因此建议使用“拿破仑帽子”这一形态学特征。与反应性增生不同,拿破仑帽子这一形态学特点在癌症中很少见。尽管贴壁生长型腺癌的确具有沿肺泡壁生长的成排的肿瘤性肺泡细胞,但这些细胞通常呈柱状/鞋钉样,而不是捏长形。
图F. 拿破仑帽子图示,Terry Helms(纪念斯隆-凯特琳癌症中心创新设计部)绘制
值得注意的是,拿破仑帽子的形态学特征在细针穿刺和粗针活检的印片中通常保存完好,而在支气管肺泡灌洗液中则不那么明显,但总有一些蛛丝马迹。在冰冻切片和小活检标本中,拿破仑帽子的形态学特点也可为反应性增生的肺泡上皮非典型性提供有用的线索。总体而言,拿破仑帽子的比喻生动地捕捉了反应性增生的肺泡细胞的独特形态学特点,并且可以作为今后解释肺标本有用的教学和诊断工具。
Natasha Rekhtman. “Napoleon Hat” Sign: A Distinctive Cytologic Clue to Reactive Pneumocytes. Archives of Pathology & Laboratory Medicine: April 2020, Vol. 144, No. 4, pp. 443-445.