Ki-67是八十年代初期在单克隆抗体的筛选过程中偶然发现的一种核蛋白。虽然Ki-67已在乳腺癌领域中应用了数十年,但它作为乳腺癌生物标志物的潜力尚未完全实现。了解Ki-67评估方法的能力和局限性对实现该生物标志物的潜力非常重要。因此,本系列推文对Allen M. Gown教授发表的最新文献《The Biomarker Ki-67: Promise, Potential, and Problems in Breast Cancer》进行编译解读,介绍Ki-67的历史、问题及国际Ki-67乳腺癌工作组的研究,与各位老师分享!
Ki-67是80年代在德国血液病理学家Harold Stein博士的实验室中发现的。Stein博士在德国基尔大学工作期间,通过使用当时新颖的单克隆抗体技术,发现了一系列具有生物标志物潜力的肿瘤相关蛋白,包括Ki-67,因其从微量滴定板的第67孔克隆而得名。Harold Stein博士与病理学家/分子生物学家Johannes Gerdes合作,并使用霍奇金淋巴瘤细胞系L428的粗核提取物,产生了命名为Ki-67的单克隆抗体,并发现其在冰冻切片中与霍奇金淋巴瘤患者的细胞核及非肿瘤生发中心的细胞核发生反应。事实上,在这篇影响深远的论文中,Ki-67抗体还被发现与其他类型的组织增殖区细胞发生反应,包括基底上皮细胞。本文的讨论部分包括有先见之明的评论:“Ki-67可能成为可靠、快速地确定恶性肿瘤增殖率的重要工具”。此后不久,IHC技术的迅速发展,为冰冻组织切片技术、使用去石蜡、福尔马林固定的组织,以及抗体使用和抗原或表位检索等创新技术创造了条件。约10年后,使用重组Ki-67蛋白,针对Ki-67抗原生成了一系列单克隆抗体(从MIB-1到MIB-3),通过表位检索,Ki-67可在脱石蜡、福尔马林固定组织中得以显色。由于Ki-67只是偶然发现的单克隆抗体,因此需要很多年才能揭示其蛋白性质,目前揭示的也只是其中一部分。该基因有约30,000bp,测序发现与其他蛋白几乎无相似之处。其半衰期约为90min,原始Ki-67抗体已被证明在细胞周期的G1、S和G2期装饰细胞核小体,但在G0期不存在。Ki-67水平随细胞周期的进展过程而逐渐增加,在M期达到最大值。前期,Ki-67抗原移动到新形成的染色体表面,并一直保留到末期。在有丝分裂细胞中,Ki-67覆盖浓缩的染色体,当细胞进入G1期时,与重组的核小体结合。Ki-67的功能与调节细胞增殖有关,但在一些敲除Ki-67的实验小鼠中,尽管没有Ki-67表达,小鼠仍正常发育且细胞正常增殖。有人提出Ki-67似乎在异染色质的构成中起主要作用,从而控制基因表达。Gerdes等人在冰冻切片上使用原始的Ki-67单克隆抗体,设计了一种“Ki-67指数”,首先应用于恶性淋巴瘤,该指数是通过计算200-500个肿瘤细胞中Ki-67阳性肿瘤细胞所占百分比来确定的。随后,Gerdes等人将Ki-67指数这一概念应用于乳腺癌,并将结果与ER进行比较,证明Ki-67指数与ER状态之间呈负相关关系。在这一早期阶段,Gerdes等人推测这种关系可能解释了为什么一些ER阳性乳腺癌对内分泌治疗(ET)的反应不佳,关于当前Ki-67指数可能预测对细胞周期靶向疗法的反应的建议非常有先见之明。
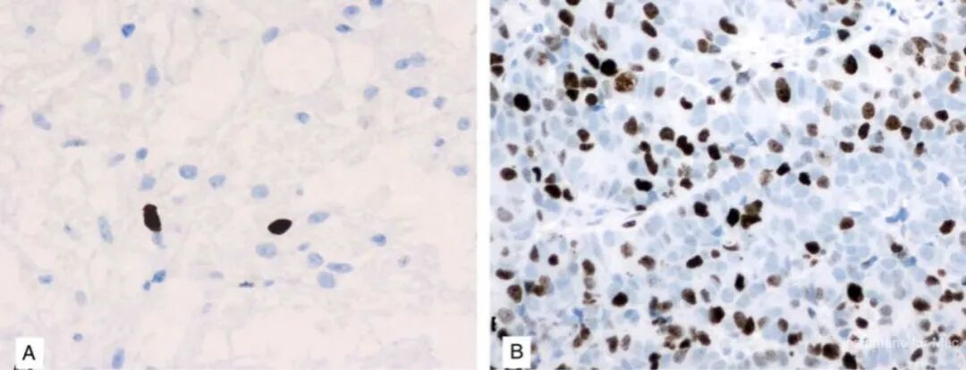
已有大量已发表的研究探索Ki-67分析与各种癌症预后的相关性,如无病生存期和总生存期。然而,实际上不可能将这些不同研究的结果相互比较,正如一份对46项已发表研究(共12155名患者)的Meta分析所示:将Ki-67指数分为“高”和“低”,很大一部分研究确实发现“高”Ki-67指数(范围从5%到32%)与较差的结果相关,但由于研究者都选择了自己的临界值来区分“高”和“低”Ki-67,因此无法对46项研究进行比较。在另一份基于25项研究共64,196名患者的Meta分析中,Petrelli等人再次证明了“高”与“低”Ki-67的适度预后价值(同样,采用了原始研究作者的定义),“高”Ki-67患者的风险比约为1.5。另一项涉及3658名患者的大型研究中,根据年龄、绝经期、肿瘤大小、淋巴结状态、组织学、分级、淋巴管浸润、血管浸润、激素受体状态和HER-2状态进行调整后,Ki-67指数可预测临床结果;然而,这种关系被发现是非线性的。图1显示了具有“低”和“高”Ki-67指数的乳腺肿瘤示例。
图1. (A)低和(B)高Ki-67指数的乳腺肿瘤示例
Ki-67指数、Oncotype Dx和对化疗反应的预测
Oncotype Dx(乳腺癌21基因检测)复发评分已被证明是一种很好的预后工具,特别是在ER阳性、淋巴结阴性乳腺癌患者中。Oncotype Dx是一种逆转录聚合酶链反应检测法,结合了16种基因的表达结果,并对包括Ki-67基因等的与细胞增殖有关的基因进行高度加权。最近,Oncotype Dx复发评分也被证明是化疗反应的预测标志物。鉴于已证明Ki-67指数与Oncotype Dx复发评分之间存在很强的相关性,那么Ki-67指数是否可单独预测对化疗的反应成为一个合理问题。Viale等人对淋巴结阴性乳腺癌患者辅助化疗的2种不同的随机试验的1924名患者进行研究发现,对于所有患者来说,无论采用何种治疗方式,“高”Ki-67与较差预后相关,但“高”Ki-67指数不能对辅助化疗的更好反应进行预测。在最近发表的一项乳腺癌患者新型辅助化疗研究中,虽然Ki-67指数与病理反应相关,但作者得出结论,Ki-67本身并不是决定乳腺癌患者是否应该接受新型辅助化疗的合适标志物。因此,迄今为止的大量证据表明,虽然Ki-67指数可用作预后标志物,但不同于Oncotype Dx测定的是,Ki-67不用作预测化疗反应的生物标志物。抗体名称 | 产品编号 | 克隆号 | 细胞定位 |
Ki-67 | RMA-0731 | MXR002 | 胞核 |
MAB-0672 | MX006 | 胞核 |
RMA-0542 | SP6 | 胞核 |
参考文献:
Gown Allen M.The Biomarker Ki-67: Promise, Potential, and Problems in Breast Cancer[J]. Applied Immunohistochemistry & Molecular Morphology, DOI:10.1097/PAI.0000000000001087.更多信息,请详询:800-8581156 或 400-889-9853