关注新冠肺炎研究进展的同仁一定知道,在新冠肺炎的临床研究中,有一系列关于临床表现的论文,是由众多医院的临床医师合作完成。因为大家都知道,少数病例不能反映出疾病的本质和规律,越是大样本越能反映出疾病的真实面貌。
同理,在病理学研究中,很多疾病的病理表现和病变规律也需要大量病例的观察、研究和总结,才能得出可靠的结论。新冠肺炎现在广泛流行,已经不是罕少疾病,仅靠个别病例的观察,只能是管中窥豹。大宗病例病理学研究势在必行。

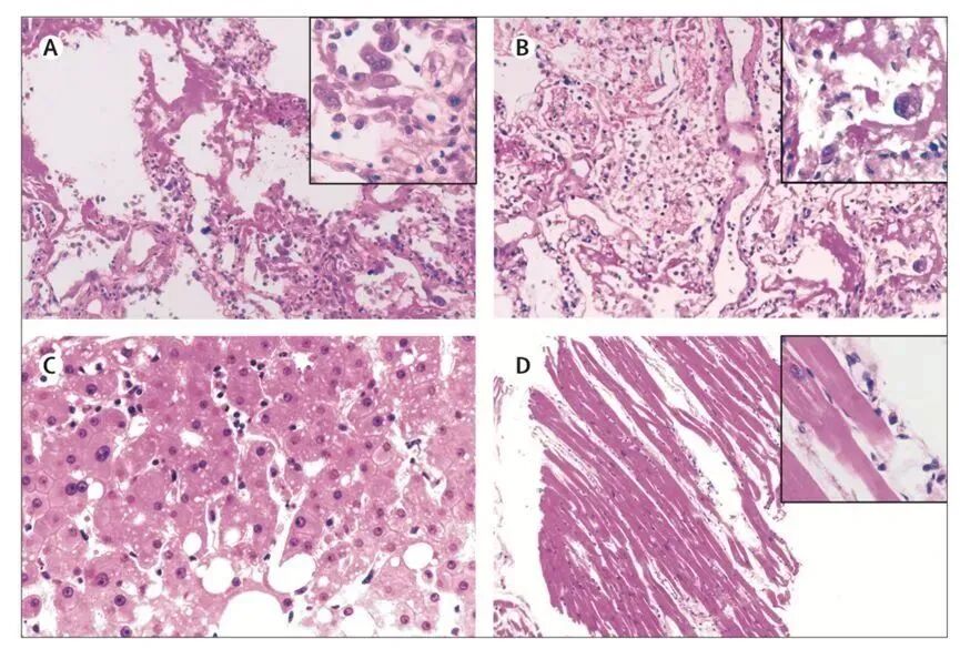
▲ 《柳叶刀》上发表的新冠肺炎重症病例肺部病理表现图片
 遗憾的是,关于新冠肺炎的病理资料很少。当前最重要的问题是积极争取和收集病例资料,越多越好。随着死亡病例的减少,争取尸检的机会也会越来越少。时不我待,机不可失,病理医师应当有紧迫感。 对于新冠病毒肺炎的病理研究,首先是尸检资料的匮乏,虽然经过一些病理大咖的努力争取,获得国家卫健委的批准,但设置的门槛太高,如解剖室条件、死者家属同意、防护要求等,还有临床配合等,不易落实,迄今也只有十几例尸检。相对于迄今近3000例死亡病例来说,实在太少。北京有位大咖认为,至少应有10%的尸检病例,才能比较全面真实地反映出该病的病理表现,笔者深表赞同。 在活检方面,武汉等地在疫情早期,在医患双方尚不知道新冠病毒感染的情况下曾有一些病人因为肺癌、结肠癌等肿瘤等施行手术,术后因为发热等症状才发现患者为新冠病毒感染者,幸运地留下一些早期感染的活检标本。如果追溯一下疫情初期的活检标本,也许还能发现一些,进行回顾性研究。现有患者的痰液、胸水及肺泡灌洗液等,也有诊断和研究价值。 介于尸检与活检之间的是死后穿刺活检,其操作难度和说服死者家属同意的难度应该比系统尸检小得多,可惜这方面的标本也很少,目前所知也不过数例,那个全球首例病理报告就是死后活检的。趁着目前还有机会,有条件的病理同仁们可要抓紧了。 大家都知道,关于新冠肺炎的文章当前最容易发表,搞个SCI也不成问题。据悉已有多篇个案报道已被外刊录用,预印本也出来了。中文预印本也看到几篇。随着新冠病毒肺炎在全球广泛流行,国外死亡病例增多,病理研究很快就会跟上来,当年SARS研究就是这样。首先在我国暴发的新冠病毒肺炎的病理研究也可能被外国超越,这种“墙里开花墙外红”的局面相信大家也不乐见。 但是,各自为战,只靠个案报告打天下,特别是描述性研究报告,还是显得比较低级。大宗病例的研究需要病理同仁通力协作,分工合作,从多个层面和角度,发挥各自优势,展开研究。研究内容可以参考当年SARS、MERS的论著,以及笔者关于尸检研究的建议。资源共享,利益均沾,各尽其能,各得其所,需要有个牵头人来协调此事。影像学专业已经搞得红红火火,病理人加油!