导语:
资料与方法:
研究结果:
肿瘤数量 | 染色结果 | |||
肿瘤类型 | 总数 | 阳性 | 阴性 | 阳性率 |
骨巨细胞瘤 | 136 | 115 | 17 | 87.5% |
软骨母细胞瘤 | 34 | — | 34 | |
动脉瘤样骨囊肿 | 20 | — | 20 | |
腱鞘巨细胞瘤 | 29 | — | 29 | |
棕色瘤 | 3 | — | 3 | |
非骨化性纤维瘤 | 19 | — | 19 | |
富于巨细胞骨肉瘤 | 3 | — | 3 | |
其他类型骨肉瘤 | 31 | 1 | 30 | 3.2% |
肿瘤类型 | 病例数 | 阳性 | 阴性 | 假阳 性率 | 假阴 性率 |
骨巨细胞瘤 | 136 | 119 | 17 | 0.7% | 12.5% |
非骨巨细胞瘤 | 139 | 1 | 138 | ||
灵敏度 | — | 87.5% | — | — | |
特异性 | — | 99.3% | — | — | |

王璇老师的文章结果显示,H3.3 G34W免疫组织化学诊断骨巨细胞瘤的灵敏度为83.1%,特异性为95.7%。

诊断图赏析:

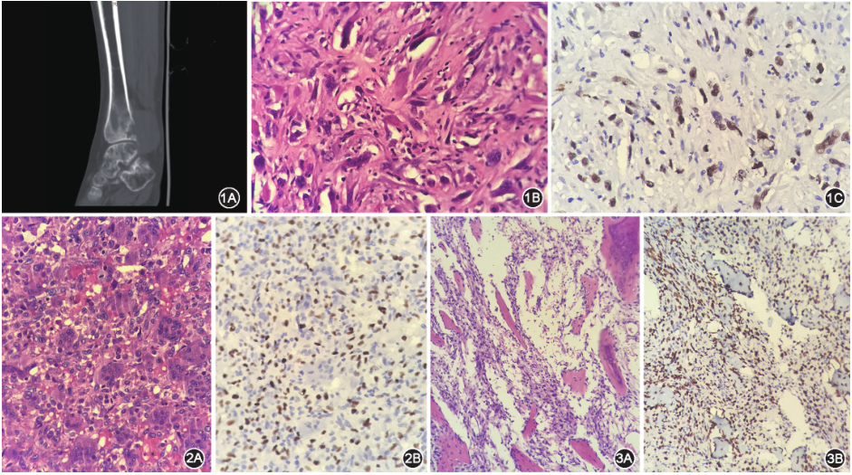
图1 H3F3A G34W免疫组织化学阳性的骨肉瘤;图A示影像学资料;图B示肿瘤细胞呈梭形,核大深染,核仁可见,明显异型 HE 高倍放大;图C示肿瘤细胞H3F3A G34W免疫组织化学染色呈较强的核阳性 Lumatas(Titan)全自动免疫组织化学染色 高倍放大;图2 骨巨细胞瘤;图A示肿瘤性的单核间质细胞核呈圆形或卵圆形,边界不清,在单核间质细胞之间均匀分布着破骨细胞样巨细胞HE 中倍放大;图B示肿瘤性的单核间质细胞H3F3A G34W免疫组织化学染色呈较强的核阳性,而破骨细胞样巨细胞核呈阴性表达Lumatas (Titan)全自动免疫组织化学染色 中倍放大;图3 蒂诺单抗治疗后的骨巨细胞瘤;图A示梭形细胞增生,破骨细胞样巨细胞大量消失,反应性骨质增生 HE 中倍放大;图B示反应性骨质之间的梭形细胞H3F3A G34W免疫组织化学染色呈较强的核阳性Lumatas (Titan)全自动免疫组织化学染色 中倍放大

图1 左胫骨上端骨巨细胞瘤(GCTB),X线示膨胀性骨质破坏,边界尚清,无硬化带;图2 发生于长骨的GCTB,由成片卵圆形单核肿瘤细胞和均匀分布的破骨细胞样巨细胞构成 HE 低倍放大;图3 发生于长骨的GCTB中H3.3 G34W染色仅见于单核肿瘤细胞的细胞核,呈弥漫强阳性表达 EnVision法 低倍放大;图4 发生于非长骨的GCTB,由成片卵圆形单核肿瘤细胞和均匀分布的破骨细胞样巨细胞构成,镜下形态与发生于长骨的GCTB基本一致 HE 低倍放大;图5 发生于非长骨的GCTB中H3.3 G34W阴性 EnVision法 低倍放大;图6 denosumab治疗后GCTB显示梭形细胞增生伴不同程度的纤维化或新骨形成,破骨细胞样巨细胞减少甚至消失 HE 低倍放大;图7 denosumab治疗后GCTB中梭形细胞呈H3.3 G34W核阳性,并且在幼稚的成骨细胞中观察到H3.3 G34W表达 EnVision法 低倍放大;图8 动脉瘤样骨囊肿,可见囊壁样组织,间质富于纤维细胞,并可见破骨细胞样巨细胞及反应性新生骨 HE 低倍放大;图9 动脉瘤样骨囊肿中H3.3 G34W阴性 EnVision法 低倍放大;图10 软骨母细胞瘤,卵圆形单核肿瘤细胞弥漫分布,并见较多破骨细胞样巨细胞,偶见窗格样钙化 HE 低倍放大;图11 软骨母细胞瘤中H3.3G34W阴性 EnVision法 低倍放大;图12 富于巨细胞的骨肉瘤(GCRO),单核肿瘤细胞呈卵圆形或梭形,伴有异型性,可见病理性核分裂象,灶性可见肿瘤性成骨,间质可见大量反应性破骨细胞样巨细胞 HE 低倍放大;图13 GCRO中H3.3 G34W阴性EnVision法 低倍放大;图14 原发性恶性GCTB,肿瘤组织内有典型的巨细胞瘤成分,且与梭形细胞肉瘤成分分界清楚 HE低倍放大;图15 原发性恶性GCTB中良性和恶性成分均有单核间质细胞H3.3 G34W核阳性表达 EnVision法 低倍放大


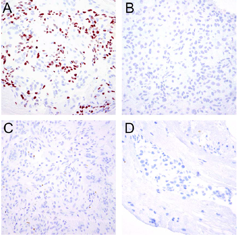
Immunohistochemistry for H3G34W in (A) a giant cell tumor of bone was positive in a subset of mononuclear tumorcells (approximately 40% of cells) and negative in multinucleated giant cells as well as the remaining mononuclear cells and inflammatory cells. H3G34W was negative in (B) chondroblastoma, (C) aneurysmal bone cyst, and (D) osteosarcoma.

Immunohistochemistry for H3K36M was negative in (A) giant cell tumor of bone, but positive in (B) the neoplastic cells of chondroblastoma. (C) Aneurysmal bone cyst and (D) osteosarcoma were negative for H3K36M.
H3.3 G34W抗体是诊断骨巨细胞瘤高度敏感和特异的生物学指标,有助于与具有相似形态学的骨肿瘤(动脉瘤样骨囊肿、软骨母细胞瘤、腱鞘巨细胞瘤和骨肉瘤等)的鉴别。推荐在常规工作中使用。
H3.3 G34W表达仅见于单核细胞、破骨细胞样巨细胞、泡沫组织细胞、淋巴细胞、内皮细胞、血管平滑肌细胞和成纤维细胞均未见表达,。
H3.3 G34W是骨巨细胞瘤特异性生物标记物,在动脉瘤样骨囊肿、软骨母细胞瘤、腱鞘巨细胞瘤,棕色瘤等相似形态的肿瘤中不表达。
富于巨细胞骨肉瘤病例中,H3.3 G34W免疫组织化学染色有阳有阴,与既往研究一致,因此富于巨细胞骨肉瘤与骨巨细胞瘤的鉴别诊断需要多注意肿瘤细胞的异型性、病理性核分裂象及其肿瘤性骨样组织。
软骨母细胞瘤不具有H3F3A G34位点突变,而多数是在H3F3B K36位点发生突变。
H3.3 G34W免疫组织化学有助于鉴别诊断蒂诺单抗治疗后的骨巨细胞瘤与其他类似形态的肿瘤。
骨巨细胞瘤中有很小部分H3.3 G34W免疫组织化学阴性,且非长骨组的阳性率明显较低, H3.3 G34W位点突变最常发生在长骨部位,H3.3 p.G34L、M、V等罕见亚型往往发生于手骨、髌骨、中轴骨。如果剔除这些部位,H3.3 p.G34W抗体在GCTB中的阳性表达率高达97.8%。
迈新相关抗体信息:
抗体名称:H3.3 G34W | ||
产品编号: RMA-0810 | 克隆号: RM263 | 兔抗人: 单克隆抗体 |
适用组织: 石蜡切片 | 阳性部位: 胞核 | 预处理: EDTA热修复 |
来源文献:
【1】王璇, 吴楠, 章如松, 等. H3.3 G34W突变抗体在骨巨细胞瘤中的表达及诊断价值 [J] . 中华病理学杂志,2020,49( 02 ): 116-121. DOI: 10.3760/cma.j.issn.0529-5807.2020.02.003
【2】白岳青, 杨婷婷, 张惠箴. H3F3A G34W免疫组织化学染色在骨巨细胞瘤诊断中的应用价值[J].中华病理学杂志,2019,48(7):531-536.DOI:10.3760/cma.j.issn.0529-5807.2019.07.006
【3】Amary F, Berisha F, Ye H et al,H3F3A (Histone 3.3) G34W immunohistochemistry: a reliable marker defining benign and malignant giant cell tumor of bone. Am J Surg Pathol 41(8):1059–1068
【4】Schaefer, I.‐M., Fletcher, J.A., Nielsen, G.P., Shih, A.R., Ferrone, M.L., Hornick, J.L. and Qian, X., Immunohistochemistry for histone H3G34W and H3K36M is highly specific for giant cell tumor of bone and chondroblastoma, respectively, in FNA and core needle biopsy. Cancer Cytopathology, 126: 552-566. doi:10.1002/cncy.22000
| 上一篇诊断陷阱——浆细胞样尿... | >>返回 | 下一篇理一理//那些与组蛋白... |