
图1A、1B. PUC的特征是散在的、核偏心位和具有嗜酸性胞质的瘤细胞,呈浆细胞样外观
1991年,Sahin和Zukerberg等人几乎同时描述了一种膀胱癌的新亚型,其镜下形态酷似淋巴瘤。2004年版WHO分类系统将这种罕见且具有侵袭性的肿瘤称为淋巴瘤样和浆细胞样变异型尿路上皮癌(PUC),又名粘附力差的癌或弥漫性癌。2016年版WHO分类系统将其命名为浆细胞样/印戒细胞样/弥漫性尿路上皮癌。
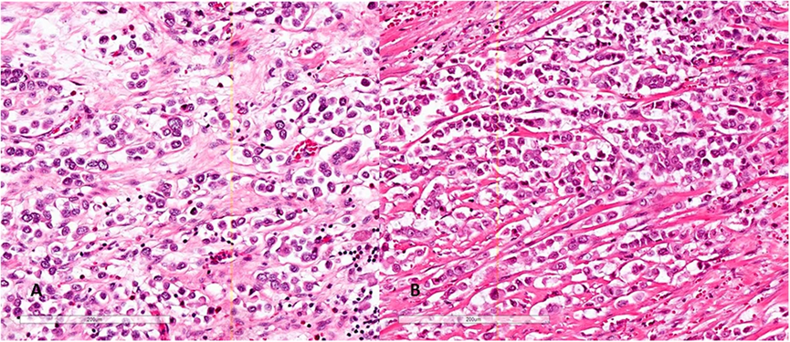
图2A. 肿瘤细胞排列成巢或列兵样;图2B酷似炎症,瘤细胞极具欺骗性
PUC是膀胱癌的罕见变异型,占尿路上皮癌的1%~3%。80%~90%的患者为男性,发病年龄为45~89岁。主要症状是肉眼血尿,排尿困难,夜尿和尿频。腹部疼痛和腹水可见于腹膜播散的患者,也有侵犯阴囊或阴茎以及尿道闭塞和肠梗阻的报道。
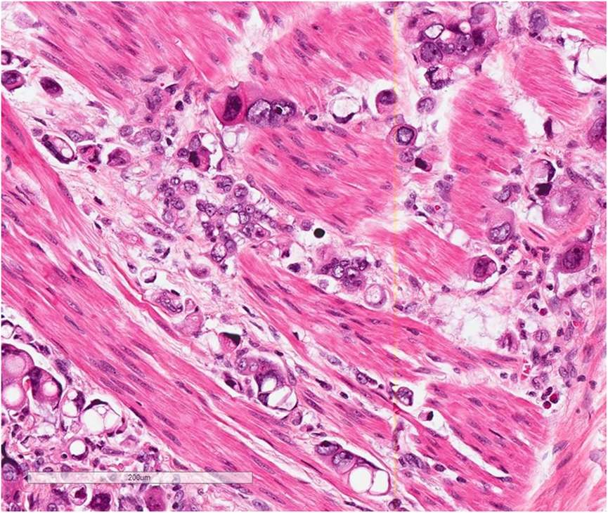
图3. PUC的瘤细胞显示胞质内空泡,呈印戒细胞样,但不是真正的印戒细胞
目前文献中没有详细报道PUC的肉眼所见,仅描述该肿物无蒂,呈突起性生长,可单发或多发,以及膀胱的弥漫性浸润。关于PUC的定义目前尚未统一,大多数研究者认为,如果病灶中至少有50%~90%的肿瘤细胞呈浆细胞样时,即可称为浆细胞样尿路上皮癌;但有些研究者则认为只要肿瘤呈浆细胞样即可,不用理会其所占百分比。PUC是一种高级别尿路上皮癌。肿瘤细胞小至中等大,粘附性差,核偏心位,椭圆形至圆形,核染色质深染。胞质中等量或丰富,嗜酸性,形态类似于浆细胞。双核罕见,核分裂象常见。核仁虽可以识别,但在大多数病例中并不显著。PUC中大约有一半是纯粹的浆细胞样尿路上皮癌,但也可以伴发于经典的尿路上皮癌、肉瘤样尿路上皮癌、微乳头状尿路上皮癌,巢状尿路上皮癌和小细胞癌。细胞排列成条索状,列兵样,小巢状,实性成片,偶尔会呈现欺骗性的良性外观,从而误诊为炎症。间质可能呈黏液样外观,并可见胞质内空泡,但并不是真正的印戒细胞。在30%–43%的病例中存在血管浸润。在目前报道的病例中,肿瘤分期为pT3或更高的PUC占56%~100%,淋巴结转移为20%~73%。PUC呈弥漫性浸润生长模式,可沿骨盆筋膜平面局部播散,累及骨膜、直肠周围和输尿管周围软组织,腹膜播散发生在33%至68%患者。对病理医生而言,在术前正确诊断PUC至关重要,以便指导临床手术范围及选择治疗方案。PUC根治性手术的切缘阳性率在11%~60%之间,输尿管切缘在多达1/3的病例中可呈阳性,远远高于经典型尿路上皮癌(输尿管切缘阳性率<4%)。
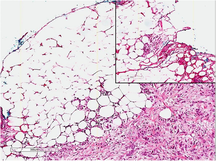
图4A. PUC对膀胱壁的弥漫性浸润;图4B显示血管内瘤栓

CK7(89%~100%)和CK20(31%~100%)显示弥漫强阳性。CD138的阳性率为11%–100%,但LCA始终为阴性。GCDFP-15,PR,CDX2和p-CEA分别在24.4%、13.3%、17.7%和48.8%的病例中呈阳性染色。GATA 3和uroplakin II分别在82.2%和33.3%的病例中表达。所有PUC均不表达ER和mammaglobin。
图6A. CK7阳性;图6B. GATA3 弥漫强阳性

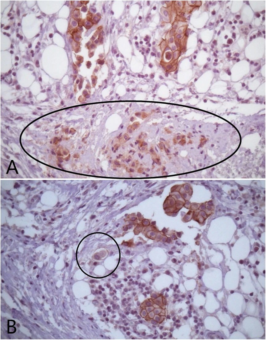
图7A和7B显示PUC出现E-Chaderin表达缺失(细胞膜阴性)
CDH1 Y68fs体系突变导致的E-Chaderin丢失或更罕见的启动子甲基化是PUC的主要遗传特征,但胚系突变始终为阴性。CDH1基因编码的E-cadherin是一种跨膜糖蛋白,它是钙粘蛋白家族分子的成员,主要在上皮细胞的基底外侧膜表达,在其中发挥细胞粘附和抑制功能。它参与并维系发育过程中的极化和上皮细胞分化。E-cadherin缺失导致PUC具有更强的细胞迁移力和侵袭性。除CDH1改变外,PUC基因组特征与经典型尿路上皮癌并无实质性差异。在PUC中也发现了TP53和RB1突变,以及ARID1A、ERBB2、PIK3CA以及TERT的频繁突变。
治疗方面包括外科手术、放疗、辅助或新辅助化疗,但由于该疾病罕见,因此目前尚未阐明最佳治疗策略。PUC具有化疗敏感性,但容易出现复发(主要位于腹膜),生存率较低。根据目前的研究报道,在19~23个月内,患者死亡率高于56%。高级别尿路上皮癌的新金标准是新辅助化疗,但对于不同的组织学亚型,其效果不一。
参考文献:
Katia Ramos Moreira Leite. Plasmocytoid urothelial carcinoma - clinical, histological, immunohistochemical and molecular aspects. Surgical and Experimental Pathology volume 3, 25 January 2020