
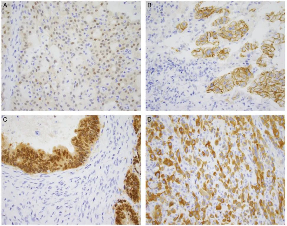
pan-TRK IHC方法检测NTRK融合突变具有高灵敏度、低成本和易开展等特点,能检测到TRK融合蛋白的表达情况,可覆盖所有TRK融合蛋白类型。但在不同的肿瘤组织中,pan-TRK IHC的染色模式不尽相同。该差异可能和NTRK基因(NTRK1、NTRK2、NTRK3)及其融合伴侣基因的不同有关。Erin R. Rudzinski、Yin P. Hung、Lea F. Surrey等人的多项研究发现NTRK3融合一般为细胞核阳性、伴或不伴细胞质着色;而NTRK1/2融合则为弥漫强阳性胞质着色[1-3]。此外,J. P. Solomon等人的进一步研究发现具有ETV6-NTRK3融合的涎腺类似乳腺分泌癌的癌(Mammary analog secretory carcinoma,MASC)显示弱到中度的细胞核和细胞质染色,具有PLEKHA6-NTRK1融合的肝内胆管癌显示强烈的膜染色,具有LMNA-NTRK1融合的胆囊腺癌显示强的胞质和核周染色,具有TPM3-NTRK1融合的软组织转移性甲状腺癌显示出强的细胞质和膜染色[4](如图1)。
图1. NTRK融合阳性肿瘤的IHC染色模式[4]。(A)具有ETV6-NTRK3融合的类似乳腺分泌癌的癌显示弱至中度细胞核和细胞质染色;(B)具有PLEKHA6-NTRK1融合的肝内胆管癌显示强烈的膜染色;(C)具有LMNA-NTRK1融合的胆囊腺癌显示出强烈的细胞质和核周染色;(D)具有TPM3-NTRK1融合的软组织转移性甲状腺癌显示出强烈的细胞质和膜染色。
pan-TRK在NTRK融合高发的罕见实体瘤中的染色模式
乳腺分泌性癌通常具备的特征为染色体易位t(12;15)(p13;q25),导致ETV6-NTRK3融合。Beth T. Harrison对24 例乳腺分泌性癌和203例其他乳腺癌、15例形态学类似分泌性癌的乳腺病变进行研究,在24例分泌性癌中,有23例pan-TRK表达阳性,其中19例为纯细胞核染色(其中有17例呈弥漫性,尽管染色强度不同,但至少有局部浓染),3例以细胞核染色为主,伴细胞质弱染色,另1例以细胞质为主,伴局灶细胞核染色(如图2)[5]。在203例非分泌性癌中,21例( 10.3% ),<5%的肿瘤细胞呈细胞核灶性弱染色,1例( 0. 5% )呈局灶细胞膜染色。另所有形态相似组织染色均为阴性。因此,pan-TRK IHC在乳腺分泌性癌中的染色模式主要为弥漫和(或)至少局灶细胞核强染色[5]。
图2. pan-TRK在乳腺分泌性癌的染色模式(A:强且弥漫性的纯细胞核染色;B:可变的弥散细胞核染色,但至少局部强度高;C:以细胞核染色为主,伴较弱的细胞质染色;D:细胞质中等强度染色为主,局灶性强细胞核染色)。MASC是《2017版WHO头颈肿瘤的唾液腺肿瘤分类》中新增的类型,肿瘤中ETV6-NTRK3融合基因高达90%以上,少数存在ETV6-RET、ETV6-MET等其它融合基因,是近年来最著名的NTRK肿瘤之一[6]。Diana Bell等人对70个唾液腺癌样本的研究发现,pan-TRK在ETV6-NTRK3融合的MASC组织中呈强烈的细胞核染色,伴较弱的细胞质染色(如图3),表明pan-TRK在MASC中的染色主要为细胞核+细胞质模式[7]。

图3.pan-TRK在MASC的染色模式:强细胞核染色伴较弱的细胞质染色
第5版WHO软组织和骨肿瘤分类著作中,确定有两种高NTRK融合频率的肿瘤类型:婴儿纤维肉瘤 (IFS)/先天性中胚层肾瘤 (CMN)及暂定类型“NTRK -重排梭形细胞肿瘤”。ETV6-NTRK3融合是婴儿纤维肉瘤、细胞性先天性中胚层肾瘤中最常见的基因改变,约占所有病例的70-90%。Yin P. Hung等人对15例婴儿纤维肉瘤的IHC研究发现,所有病例均存在细胞质染色(图4:A、B 和E),其中 11 例具有细胞核染色(图4:C和D),2 例具有较强的局灶性膜染色(图4:A)[3]。
图4. pan-TRK在婴儿纤维肉瘤的染色模式(A:弥漫性强颗粒细胞质和膜染色;B:弥漫性强细胞质染色;C:细胞核染色;D:细胞核染色;E:弥漫性弱至中度细胞质染色)2020 版《WHO软组织与骨肿瘤分类》首次提出NTRK重排梭形细胞肿瘤这一名称,包括脂肪纤维瘤样神经肿瘤和类似于恶性周围神经鞘膜瘤的肿瘤。该肿瘤可表现出可变的细胞学异型性、弥漫性 S100 蛋白表达和复发性 NTRK1 基因重排,NTRK2和NTRK3的融合较为罕见[8]。在Yin P. Hung等人的研究中,pan-TRK 在脂肪纤维瘤样神经肿瘤中为细胞质染色,伴强细胞膜染色(图5A),但未观察到细胞核染色。在Cristina R. Antonescu等人的研究中,类似于恶性周围神经鞘膜瘤的NTRK1基因重排肿瘤pan-TRK IHC为强而弥散的细胞质染色模式(图5B)[8]。
图5. pan-TRK在NTRK重排梭形细胞肿瘤的染色(A:脂肪纤维瘤样神经肿瘤,细胞质伴强细胞膜染色;B:类似于恶性周围神经鞘膜瘤的NTRK1基因重排肿瘤,强而弥散的细胞质染色)。Solomon, J.P等人的研究表明pan-TRK在神经和平滑肌组织中存在生理性表达(图6),在具有神经或平滑肌分化的融合阴性肿瘤中观察到 IHC 表达,例如神经母细胞瘤、胶质母细胞瘤、平滑肌肉瘤、婴儿原始黏液样间充质瘤和婴儿纤维错构瘤等,因此,pan-TRK IHC识别NTRK融合状态并不适用于神经源性肿瘤或平滑肌/神经分化肿瘤[9-10]。

图6. pan-TRK IHC在神经和平滑肌组织中存在生理性表达(A:在平滑肌中可见生理染色,如在动脉壁中所见;B,C: 在神经母细胞瘤和胶质母细胞瘤可见生理染色,这使判读变得困难)。
综上所述,pan-TRK的判读还存在一定的挑战:在pan-TRK IHC染色上,因其着色部位可以是细胞核、细胞质或者细胞膜,不同类型肿瘤中必须明确着色部位。此外,染色前处理如固定、组织厚度、切片的稳定性等也可以影响染色质量。因此,在不同实体瘤的判读上及与不同检测平台验证上仍需要积累更多的数据。抗体名称 | 产品编号 | 克隆号 | 细胞定位 |
pan-TRK | RMA-1072 | MXR032 | 胞质/胞核/胞膜 |
[1]Rudzinski Erin R,Lockwood Christina M,Stohr Bradley A,et al.Pan-Trk Immunohistochemistry Identifies NTRK Rearrangements in Pediatric Mesenchymal Tumors.[J]. The American journal of surgical pathology,2018,42(7).[2]Surrey L , Davis J . NTRK-Rearranged soft tissue neoplasms: A review of evolving diagnostic entities and algorithmic detection methods.[J]. Cancer genetics, 2022, 260-261:6-13.[3]Yin P Hung, Christopher D M Fletcher,Jason L Hornick.Evaluation of Pan-TRK Immunohistochemistry in Infantile Fibrosarcoma, Lipofibromatosis-like Neural Tumor, and Histologic Mimics[J] Histopathology,2018.[4]Solomon J P , Benayed R , Hechtman J F , et al. Identifying patients with NTRK fusion cancer[J]. Annals of Oncology, 2019, 30(Supplement_8):viii16-viii22.[5]Harrison Beth T, Fowler Elizabeth, Krings Gregor, et al. Pan-TRK Immunohistochemistry: A Useful Diagnostic Adjunct For Secretory Carcinoma of the Breast[J]. The American journal of surgical pathology,2019,43(12).[6]夏荣辉,李江.唾液腺癌分子病理诊断进展[J].口腔颌面外科杂志, 2020,30(6):341-347.[7]Bell D , Ferrarotto R , Li L , et al. Pan-Trk immunohistochemistry reliably identifies ETV6-NTRK3 fusion in secretory carcinoma of the salivary gland[J]. Virchows Archiv, 2020, 476(2).[8]Antonescu C R . Emerging soft tissue tumors with kinase fusions: An overview of the recent literature with an emphasis on diagnostic criteria[J]. Genes, Chromosomes and Cancer, 2020, 59(8).[9]Solomon J P and J F Hechtman. Detection of NTRK fusions: merits and limitations of current diagnostic platforms[J].Cancer research. 2019,79(13): 3163-3168.[10]Xu Chunwei,Si Lu,Wang Wenxian,et al. Expert consensus on the diagnosis and treatment of NTRK gene fusion solid tumors in China[J].Thoracic cancer,2022,13(21).更多信息,请详询:800-8581156 或 400-889-9853