神经营养性酪氨酸受体激酶(Neurotrophic Tyrosine Receptor Kinase,简称NTRK)基因融合突变上市的药物及在研的药物临床效果显著,很多晚期患者在使用NTRK抑制剂后如获重生。那么,NTRK和它编码的蛋白:原肌球蛋白受体激酶(Tropomyosin receptor tyrosine kinase,简称TRK)又与肿瘤有着怎样的关系?在NTRK的检测中,IHC又扮演着怎样的角色?有怎样的特点呢?快来看看吧!
TRK包括TRKA、TRKB和TRKC三种跨膜神经滋养蛋白受体,分别由位于染色体1q22、9q21、15q25的神经营养性酪氨酸受体激酶基因NTRK1、NTRK2和NTRK3编码。正常人体环境中,不同TRK蛋白亚型与不同神经营养因子结合,调节中枢和外周神经系统中各类神经元的生长、分化和凋亡。NTRK融合是指:由于染色体内或染色体间重排,编码TRK的NTRK基因与另一个基因融合在一起,此时,编码的TRK融合蛋白处于结构性激活状态,引发持续性的信号级联反应,驱动细胞的恶性增殖,引发癌变[1]。
图1. TRK信号通路(神经营养蛋白与TRK蛋白的结合通过PI3K、RAS/MAPK/ERK和PLC-γ诱导受体二聚化、磷酸化和下游信号级联的激活)[1]。NTRK融合突变被称为“钻石”靶点,其融合史可以追溯到1982年,当时NTRK1基因融合首次在结肠癌中被发现[2],随后,NTRK融合逐渐在多种成人/儿童的实体瘤中被发现。
图2. 与 TRK 信号转导的生物学和治疗靶向相关的关键进展时间轴[3]。
NTRK融合流行病学统计发现[4],NTRK融合实体瘤的整体阳性率为0.3%。成年患者(≥18岁)和儿科患者(<18岁)的NTRK融合阳性率分别为0.28%和1.34%;发病率随着年龄的降低而增加,5岁以下儿童的NTRK融合阳性率最高,为2.28%。在中国(或亚洲)癌症患者中,NTRK融合阳性率为0.4%。根据检测到的NTRK融合频率,可将相关肿瘤分为以下两大类:一、罕见的癌症类型高度富集NTRK融合:发生于成人的乳腺分泌性癌、涎腺类似乳腺分泌癌的癌(MASC)及发生于儿童的先天性中胚层肾瘤(细胞或混合亚型)和婴儿纤维肉瘤等,属ETV6–NTRK3融合类型,在特定系列患者中的患病率>90%[3];二、NTRK融合在其他常见的肿瘤中的频率较低(5-25%或<5%):NTRK融合突变在甲状腺癌、Spitzoid肿瘤、胃肠道间质瘤、以及某些小儿神经胶质瘤等癌种中的发生率为5-25%。在肺癌、胰腺癌、头颈鳞状细胞癌、胆管癌、乳腺癌、结直肠癌和肾细胞癌、黑色素瘤、成人原发性脑肿瘤(如星形细胞瘤或胶质母细胞瘤)和非GIST软组织肉瘤的NTRK融合发生率则<5%。此外,一些血液恶性肿瘤,如急性淋巴母细胞白血病和急性髓性白血病,也显示出低频NTRK 融合[3]。
图3. NTRK 融合在成人和儿童肿瘤中的分布和频率[3]。
目前,靶向NTRK融合基因的临床在研新药有十几种,它们都具有TRK抑制活性,可分为选择性(拉罗替尼、赛利替尼,等)和非选择性(恩曲替尼、瑞波替尼,等)两类[5]。其中一代口服高选择性TRK抑制剂:拉罗替尼,于2022年4月13日获得中国药品监督管理局(NMPA)药品注册批文,用于治疗携带NTRK融合基因(包括NTRK1、NTRK2、NTRK3)的实体瘤成人和儿童患者。同年7月29日,一种口服的针对TRKA、TRKB、TRKC、ROS1和ALK基因泛TRK抑制剂:恩曲替尼,也获得NMPA药品注册批文,用于治疗成人及12岁以上儿童患者NTRK融合阳性、初始治疗后局部晚期或转移性实体肿瘤。为携带NTRK融合的肿瘤患者带来了更多的治疗选择。因此,无论是罕见肿瘤NTRK高频融合,还是高发肿瘤NTRK罕见融合,其检测都至关重要。
针对NTRK融合的诊断方法有IHC、FISH、PCR及NGS等。其中IHC具有灵敏度高、特异性强、流程耗时短及成本低的优势[6]。Danielle A. Murphy等人的研究发现,使用NGS作为基因重排检测的参考标准时,pan-TRK的IHC检测表现出100%的阳性一致性,并有100%的阴性预测值,是研究基因融合的有效方法[7]。与此一致,MSKCC的Jaclyn F. Hechtman等人对经NGS检测的21例NTRK融合阳性和20例阴性样本进行pan-TRK IHC验证,发现其敏感性95.2%,特异性100%,阳性预测值高达100%,阴性预测值高达96%[8]。并总结了pan-TRK IHC的3项重要用途:⑴快速评估可能存在非NTRK融合的晚期恶性肿瘤,以测试患者是否有资格接受新型泛TRK抑制剂的靶向治疗;⑵作为NGS的替代,对可能的NTRK融合病例进行初步评估;⑶确认以NTRK融合为特征的特定肿瘤的手术病理诊断的方法,如乳腺分泌性癌、唾液腺分泌性癌/MASC和先天性纤维肉瘤等[8]。随着研究的不断深入,欧洲肿瘤内科学会(ESMO)转化研究和精准医学工作组推出了2019版ESMO NTRK检测指南,指出:对于瘤种高发突变低频的肿瘤,可考虑“两步方案(two-step approach)”,先采用pan-TRK IHC检测用于阳性突变的富集甄选;对于瘤种罕见突变高频的肿瘤,即便NGS常规开展,也建议采用pan-TRK IHC检测进行蛋白层面的检测,用来交叉验证,积累数据[6]。
图4. 2019 ESMO临床实践和研究中检测NTRK融合的标准方法推荐[5]。
此外,最新发布的《中国实体瘤NTRK融合基因临床诊疗专家共识》也指出:pan-TRK IHC可以作为NTRK融合基因发生率较低、NTRK不表达且常规条件下不推荐NGS DNA panel方法的癌种初筛方法;也可以作为NGS检测手段的复核手段[4]。
迈新自研pan-TRK兔单克隆抗体,可与来自TRKA、TRKB和TRKC的C端的保守专有肽序列反应,可同时识别TRKA、TRKB、TRKC蛋白,故,具有覆盖所有融合类型的特点。在研发过程始终着眼客户之所需,建立了独有的验证标准和质量控制体系,筛选的每一步均加入IHC验证,并坚持稳定性和自动化病理染色系统的适配优化,具有高敏感、高特异和高稳定等特点,其IHC染色结果精确可靠!
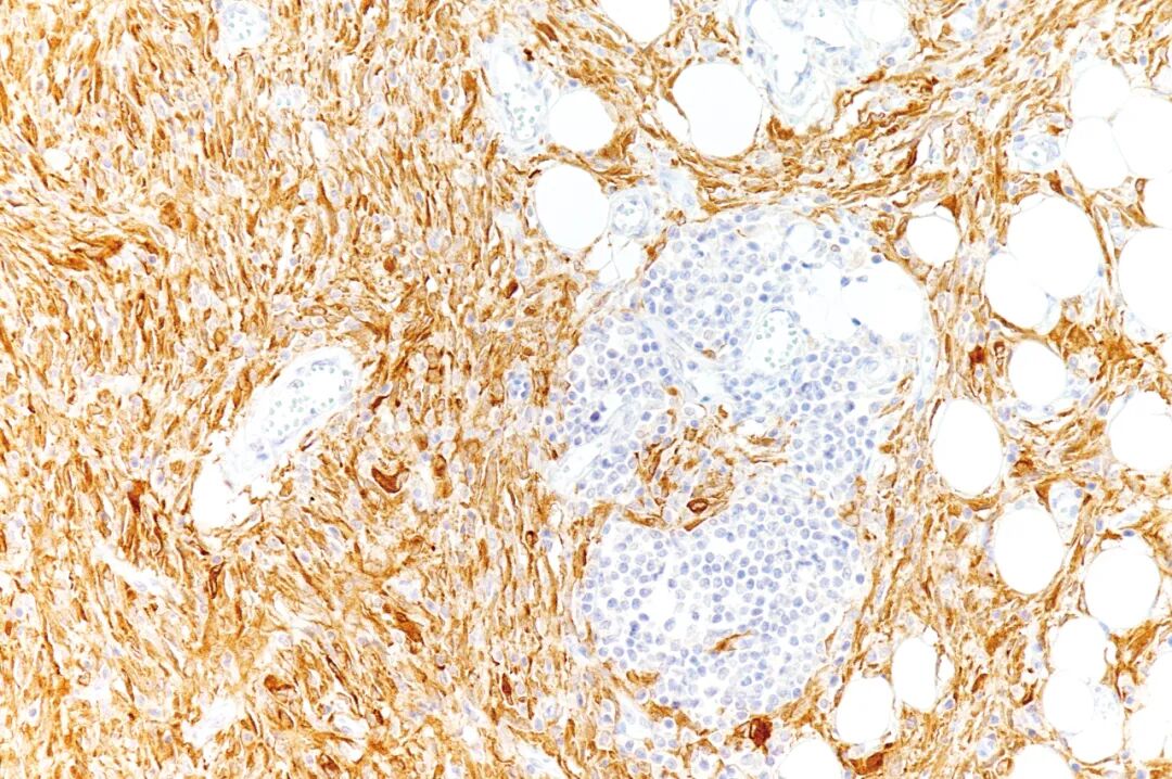
图5. 脂肪纤维瘤病样神经肿瘤pan-TRK染色,细胞质&细胞核阳性抗体名称 | 产品编号 | 克隆号 | 细胞定位 |
pan-TRK | RMA-1072 | MXR032 | 胞质/胞核/胞膜 |
[1]Farago, Anna, F, et al.Targeting TRK family proteins in cancer[J]. Pharmacology and Therapeutics: The Journal of the International Encyclopedia of Pharmacology and Therapeutics, 2017, 173:58-66.[2]Vaishnavi A , Le A T , Doebele R C . TRKing Down an Old Oncogene in a New Era of Targeted Therapy[J]. Cancer Discovery, 2014.[3]Cocco E , Scaltriti M , Drilon A . NTRK fusion-positive cancers and TRK inhibitor therapy[J]. Nature Reviews Clinical Oncology, 2018, 15:731-747.[4]中国实体瘤NTRK融合基因临床诊疗专家共识. http://caclp.com/article/?detail_9916.html. [5]齐长松, 董坤, 袁家佳,等. NTRK基因融合的检测及TRK抑制剂研究进展[J]. 肿瘤综合治疗电子杂志, 2022,8(2):113-121.[6]C Marchiò, Scaltriti M , Ladanyi M , et al. ESMO recommendations on the standard methods to detect NTRK fusions in daily practice and clinical research[J]. Annals of Oncology, 2019, 30(9).[7]Murphy D A , Ely H A , Shoemaker R , et al. Detecting Gene Rearrangements in Patient Populations Through a 2-Step Diagnostic Test Comprised of Rapid IHC Enrichment Followed by Sensitive Next-Generation Sequencing[J]. Applied Immunohistochemistry & Molecular Morphology Aimm, 2016.[8]Hechtman Jaclyn F,Benayed Ryma,Hyman David M,et al. Pan-Trk Immunohistochemistry Is an Efficient and Reliable Screen for the Detection of NTRK Fusions.[J]. The American journal of surgical pathology,2017,41(11).更多信息,请详询:800-8581156 或 400-889-9853