GATA3结合蛋白通常简称GATA3,是GATA家族中的锌指转录因子,在多种组织和细胞类型中对促进和引导细胞增殖、发育和分化起到重要作用。正常组织中,GAGT3常表达于乳腺、皮肤、肾脏、尿路上皮、大血管上皮的细胞核。在淋巴结中的滤泡间T细胞呈现弱胞核表达,在甲状腺、呼吸道、肺泡上皮、间质细胞、肝细胞、卵巢、子宫内膜、血管及其它软组织不表达,因此可用于组织内质控。在肿瘤组织中,GATA3在原发性和转移性导管癌,小叶癌中呈阳性表达。也被用于鉴别尿路上皮癌和前列腺癌。
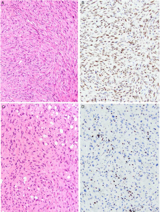
间皮瘤中恶性胸膜间皮瘤是常见的类型(81%),除胸膜外,间皮瘤也可以发生在其他部位,如腹膜(9%)、心包膜和睾丸鞘膜。世界卫生组织将恶性间皮瘤(DMM)的组织学亚型包括上皮样(最常见)、肉瘤样、混合样。由于间皮的多潜能分化功能致使恶性间皮瘤细胞形态多种多样,导致腺癌与反应性间皮瘤,肉瘤样间皮瘤与肉瘤样癌,彼此之间不易鉴别, 特别是肺肉瘤样癌含由非典型梭形细胞组成,时有混合肉瘤样癌和鳞状或腺样癌。肉瘤样间皮瘤为发生于间皮细胞的低分化恶性肿瘤,也具有非典型的梭形细胞成分,呈束状,结节状或偶然状排列。且两种肿瘤组织学表现为高级别,无特殊形态特征,因此鉴别诊断异常困难。广泛研究中发现,反应性间皮瘤和恶性间皮瘤中GATA3的表达率相对较高(58%)。相反,在肺癌和鳞状细胞癌中极少表达(0-8%)。GATA3在双向分化型滑膜肉瘤的腺体部分通常阳性,20%的上皮性肉瘤阳性。在其他绝大多数的肉瘤中,GATA3阳性率介乎于0%-10%。基于以上,本研究旨在探讨弥漫性肉瘤样恶性间皮瘤(SMM/DMM)是否表达GATA3,如果表达 GATA3,GATA3可用于区分SMM/DMM间皮瘤与肺肉瘤样癌。本研究中,收集SMM/DMM间皮瘤19例与肺肉瘤样癌13例进行GATA3免疫组化实验。其染色结果根据染色强度及范围进行评分。肿瘤细胞弥漫分散度按0-3分级,< 1% 为0分级,1% ー25% 为1分级,25% ー50% 为2分级,> 50% 为3分级。染色强度从0到3评分如下: 0代表无,1代表弱,2代表中等,3代表强染色。两者分数相加为最终分值,最高分值为6分。GATA3免疫组化染色结果见表1,所有病例均以炎性细胞核染色作为内对照。所有19例SMM/DMM间皮瘤均为弥漫中、强阳性染色(19例平均值±标准差5.4±0.9,见下图)。13例肺肉瘤样癌中,除阳性对照外,大部分未见染色。其中有2例GATA3染色阳性(15%),且仅为灶状弱阳性(两例评分均为2分,13例平均值±标准差0.4±0.8,见下图)。研究结果显示,两组评分差异显著(p<0.001)。此外,GATA3染色阳性强度及范围与传统间皮瘤标记间无明确相关性。

SMM/DMM间皮瘤(A:HE染色,B:GATA3染色,呈强弥漫性染色);
肺肉瘤样癌(C:HE染色,D:GATA3染色结果,炎性细胞作为强阳性内对照,肿瘤细胞阴性)。
研究发现,使用GAGT3免疫组织化学检测对SMM/DMM间皮瘤和肺肉瘤样癌的鉴别敏感性为100%,特异性为85%。因此该研究表明GATA3是间皮瘤诊断中一个敏感和合理的免疫标志物,用于区分肉瘤样间皮瘤和肉瘤样癌。在临床使用中有两点需要注意:首先在肿瘤细胞不完全染色时,有炎性细胞核染色的结果才是可靠的。其次,这个结果并不是绝对的,因为在肉瘤样癌中偶见弱阳性灶状染色,需要其他指标辅助鉴别。炎性细胞阳性染色可作为内部质控,肿瘤细胞染色强度小于内质控,则倾向于肉瘤样癌。抗体名称 | 产品编号 | 克隆号 | 阳性部位 |
GATA3 | MAB-0695 | L50-823 | 胞核 |
*标为迈新克隆产品
来源文献:
1. Berg, K. B., & Churg, A. GATA3 Immunohistochemistry for Distinguishing Sarcomatoid and Desmoplastic Meso-thelioma From SarcomatoidCarcinoma of the Lung. The American Journal of Surgical Pathology, (2017). 41(9),1-221–1225.